
Fixed Teeth with Dental Implant in 1 Day.
straightening & beautification of teeth.


Is this Your Smile or Concern?








Cosmetic Dentistry in Mumbai
Experience | Comfort | Trust
At Royal Dental Clinics, we believe that your smile is your best accessory. Our cosmetic dentistry treatments in Mumbai are designed to enhance, restore, and transform your smile—all in just one day! Whether you’re looking to fix discolored, chipped, misaligned, or uneven teeth, we offer Teeth in a Day, to achieve the smile you’ve always dreamed of.
Using advanced CAD-CAM technology and the expertise of Dr. Chirag Chamria (Cosmetic Dentist in Kandivali), we deliver precision-driven results for treatments like:
- Smile Makeovers
- Dental Veneers & Laminates
- Teeth Whitening
- Cosmetic Bonding
- Bite Correction & Alignment
With 40+ years of trust and innovation, Royal Dental Clinics ensures you walk out with a confident, natural-looking smile in just a single visit.
Cosmetic Dentistry Consultation
Royal Dental Clinics Kandivali, Mumbai
20K +
Happy Patients
40k +
Dental Crowns
4.9/5
Rated On Google
40+
Years Of Dentistry
Designed for Your Comfort & Care







What is Cosmetic Dentistry ?
Cosmetic dentistry involves dental treatments that improve the appearance of your teeth and smile. It is ideal for people who want to correct issues like stains, chips, gaps, uneven teeth, or an unbalanced gum line. The goal is to create a smile that looks healthy, natural, and suits your facial features.
At Royal Dental Clinics, we offer advanced cosmetic dentistry in Kandivali, Mumbai with customized treatment plans. With the support of digital smile designing and same-day technology, we help patients achieve their dream smile—often in a single visit.
Whether you’re looking to brighten your teeth or completely redesign your smile, our team, led by one of the best cosmetic dentists in Mumbai, is here to guide you every step of the way.
Let’s explore the different types of cosmetic dentistry available at our cosmetic dental clinic in Mumbai.
Cosmetic Dentistry Treatment in Mumbai

Teeth Whitening in Mumbai
1. Teeth Whitening in Mumbai
At Royal Dental Clinics, we offer a variety of teeth whitening in Mumbai options, allowing you to customize your treatment based on your specific needs. Whether you prefer whitening your teeth at our advanced dental clinic or in the comfort of your own home, we provide effective, low-sensitivity, and safe solutions. Our compassionate team ensures your comfort throughout the process, carefully selecting the right whitening formula tailored to your unique requirements. With us, you can confidently achieve a brighter smile, and we’re always here to address any concerns you may have along the way.

Dental Crown and Bridges
Dental crowns and bridges are fixed solutions used to restore damaged or missing teeth. A crown covers and strengthens a weak or broken tooth, while a bridge replaces one or more missing teeth by anchoring to nearby teeth or implants. At Royal Dental Clinics in Mumbai, we offer same-day crowns and bridges using CAD-CAM technology and SAPTeeth materials, ensuring precision, durability, and a natural look.
Our in-house lab allows us to design and deliver crowns in just one visit. We use advanced materials like SAPT.gn, SAPT.hipc, and SAPT.resin, which can be repaired directly in the mouth, saving time. Ceramic and zirconia crowns, though aesthetically pleasing, may require lab repair if fractured. Call to get durable, natural-looking dental crowns and bridges in Mumbai—crafted by expert hands at Royal Dental Clinics.

Dental Veneers in Mumbai
At Royal Dental Clinics, we offer high-quality porcelain veneers in Mumbai, which are meticulously crafted thin shells bonded to the front surface of your teeth to enhance their appearance. Our veneers are custom-designed to match the natural color and shape of your teeth, effectively covering imperfections such as chips, cracks, and stains. This procedure provides a durable, long-lasting, and natural-looking solution, helping you achieve a flawless smile. With our expertise, you can enjoy a beautiful, confident smile tailored to your unique needs.

Orthodontic Treatment
Orthodontic treatment helps align crooked teeth, close gaps, and correct bite problems to improve both function and appearance. At Royal Dental Clinics in Mumbai, we offer personalized solutions like metal braces, ceramic braces, and clear aligners—all designed to create a balanced and confident smile.
Led by a skilled cosmetic dentist in Mumbai, our clinic combines digital smile planning with modern orthodontic techniques to make treatment faster and more comfortable. Whether you’re an adult or teen, we help you achieve straighter teeth with minimal visits. Call us today to book your consultation for orthodontic treatment in Mumbai.

Smile Makeover in Mumbai
A smile makeover is a customized combination of dental treatments designed to improve the appearance of your smile. Whether you have stained, chipped, misaligned, or uneven teeth, a smile makeover can completely transform how you look and feel. At Royal Dental Clinics in Mumbai, we offer same-day smile makeovers using advanced digital smile designing, veneers, crowns, teeth whitening, and more.
Led by a skilled cosmetic dentist in Mumbai, our team creates smile designs that match your facial features and personality. With in-house technology and years of expertise, we deliver natural-looking results—quickly and comfortably.

Gum Contouring in Mumbai
Gum contouring, also known as gum reshaping, is a cosmetic dental procedure used to correct uneven or excessive gum lines. If you feel your teeth look too small or your smile appears “gummy,” gum contouring can help create a more balanced and attractive smile. At Royal Dental Clinics in Mumbai, we perform safe and precise gum reshaping using advanced laser technology—often completed in just one visit.
Performed by an expert cosmetic dentist in Mumbai, this procedure enhances the overall look of your teeth and smile while maintaining gum health. Whether it’s for cosmetic reasons or to prepare your gums for crowns or veneers, gum contouring is tailored to your unique needs.
Hollywood Smile Makeover in One Day
Get a complete cosmetic makeover in Mumbai at Royal Dental Clinics—quick, easy, and with results you’ll love. Our expert cosmetic dentist in Mumbai can help you feel more confident in just one visit! Call us now at +91 9820012621 or WhatsApp us to book your appointment. Let’s bring out your best smile—today!







Reasons to Choose Cosmetic Dentistry in Mumbai
If you’re looking to improve your smile, cosmetic dentistry in Mumbai offers world-class treatments with expert care—at a much more affordable cost compared to many other countries. From teeth whitening to veneers and full smile makeovers, patients receive advanced dental solutions with minimal waiting time.
At Royal Dental Clinics, you’re treated by a skilled and experienced cosmetic dentist in Mumbai, using the latest digital technology for precise, same-day results. Whether you’re a local resident or visiting from abroad, Mumbai is the right place for safe, effective, and aesthetic dental care—all under one roof.

Same-Day Cosmetic Dentistry Treatment
Advanced in-house technology allows many cosmetic procedures like veneers, crowns, and smile makeovers to be completed in just one day.

Digital Smile Designing in Mumbai
We use Digital Smile Design (DSD) and CAD-CAM technology to map out your ideal smile before treatment begins, allowing you to preview results and make informed decisions.

Affordable and High-Quality Care
World-class cosmetic dental treatments at prices much lower than in the US, UK, or UAE—without compromising on quality with travel convenience and hospitality support.

Experienced Cosmetic Dentist
Our team is led by highly qualified and internationally trained professionals who specialize in aesthetic dental treatments, ensuring safe, accurate, and beautiful results every time.
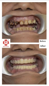
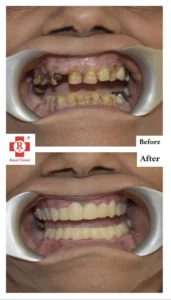
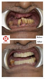
Cosmetic Dentistry Patient
Before and After Cosmetic Dentistry & Smile Makeover



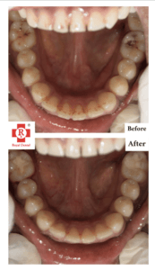
Case Study: Before and After: Crooked or misaligned teeth
Crooked or misaligned teeth are a common complaint in the younger age group. This may be due to inadequate prevention at an early age and multiple cavities in primary teeth. If your teeth are crooked, you may undergo the treatment with braces, which may take about 1-2 years for correction. Even in such cases the color and the shape of the tooth cannot be changed, only the position can be altered. There is a good chance multiple teeth may have to be removed to create space. We help to save your natural teeth and provide crowns over the existing teeth. The natural teeth are usually shaved or contoured so that a cap can be placed on it.
Cosmetic Dentistry in Mumbai
Crooked or misaligned teeth are a common complaint in the younger age group. This may be due to inadequate prevention at an early age and multiple cavities in primary teeth. If your teeth are crooked, you may undergo the treatment with braces, which may take about 1-2 years for correction. Even in such cases the color and the shape of the tooth cannot be changed, only the position can be altered. There is a good chance multiple teeth may have to be removed to create space. We help to save your natural teeth and provide crowns over the existing teeth. The natural teeth are usually shaved or contoured so that a cap can be placed on it.


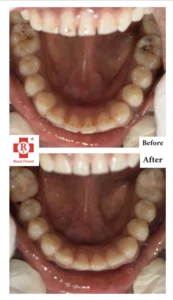
Case Study: Before and After Bruxism or Teeth Grinding
Pathological tooth migration is a common consequence of missing teeth and periodontitis. It causes foul smell, difficult in eating, pus and bitter taste causing reduced the quality of life. It refers to tooth displacement that results when the balance among the factors that maintain tooth position is disturbed. These diseases could be due to bone loss, mobility in teeth, resorption of gums, abnormal biting forces and extractions. Pathological migration or teeth stains can be corrected within few hours by splinting. It may not always be required to remove the tooth but rather the mobility can be corrected by splinting.
Bruxism or Teeth Grinding

Full Mouth Smile

Stained Teeth

Smile Makeover
Bruxism or teeth grinding happens when you grind or clench your teeth unknowingly. If you are a bruxist, you may unconsciously grind your teeth when you’re awake or during sleep. Mild bruxism may go unnoticed but severe bruxism leads to wear-off of the top surface of teeth leading to sensitivity, damaged teeth, jaw joint disorders, and sleep disorders amongst other problems. For severe bruxism, the standard of care is stress reduction and night guards with prosthetic correction. But now it is possible to incorporate the properties of the night guard into the prosthesis or artificial teeth itself, called SAPTeeth™.
Pathological Tooth Migration

Pathological Migration

Tooth Mobility

Moving teeth
Pathological tooth migration is a common consequence of missing teeth and periodontitis. It causes foul smell, difficult in eating, pus and bitter taste causing reduced the quality of life. It refers to tooth displacement that results when the balance among the factors that maintain tooth position is disturbed. These diseases could be due to bone loss, mobility in teeth, resorption of gums, abnormal biting forces and extractions. Pathological migration or teeth stains can be corrected within few hours by splinting. It may not always be required to remove the tooth but rather the mobility can be corrected by splinting.
Cosmetic Contouring & Teeth Bonding
Breakages or damaged teeth are a common complaint in the younger and middle age group. This may be due to abnormal biting forces or inadequate prevention at an early age. Cosmetic contouring is a simple procedure that removes some of your enamel to change the form of your tooth or teeth. The goal of cosmetic contouring is to alter your teeth’ shape, length, or appearance to improve your look. Our procedures provide natural-looking and aligned teeth in one day which adds confidence to your personality and charm to your smile. Teeth straighteningcan do some incredible things for your smile!
National & International News

Consultation for Cosmetic Dental Treatment in Mumbai
Dental Consultation Includes:
- In-depth Examination & Discussion
- X-ray OPG / CBCT / Intra-oral scan as required
- Written Treatment Plan with Options
Every person who takes treatment is different. For some a dental treatment may be 100% effective and for some it may be less effective. Therefore there cannot be any implied or express warranty for the treatment. However; based upon the experience of Dentists all over the world, some facts and figures can be assembled and an inference can be drawn as to what one must a patient expect from the treatment in most of the cases.
Frequently Asked Questions
What is the cost of Cosmetic Dentistry in Mumbai?
The cost of cosmetic dentistry in Mumbai varies depending on the specific procedure, complexity, location, and dentist expertise. Teeth whitening can range from $20 to $150, dental veneers from $300 to $700 per tooth, dental bonding from $60 to $200 per tooth, dental crowns from $300 to $1000 per crown, and orthodontic treatments from a few thousand to several thousand dollars. Consult a cosmetic dentist in Mumbai for an accurate cost estimate. The cost for treatment in India is 5 to 8 times cheaper than abroad.
What services does Royal Dental Clinics offer in Cosmetic Dentistry in Mumbai?
Royal Dental Clinics offers a range of cosmetic dentistry services in Mumbai, including:
- Teeth whitening
- Veneers
- Crowns and bridges
- Orthodontic treatments (like Invisalign)
- Dental implants
- Smile makeovers
Can International Patients also contact for 1 Day cosmetic dentistry in Mumbai?
Yes, international patients can also contact for 1-day cosmetic procedures. Many dental clinics and cosmetic dentists welcome international patients and offer expedited treatment options, including same-day cosmetic procedures. It’s recommended to inquire with the specific dental clinic or cosmetic dentist about their services for international patients and the availability of 1-day cosmetic procedures. They can provide detailed information and assist with any necessary arrangements for international patients seeking cosmetic dental treatments.
How can cosmetic dentistry improve my smile?
Cosmetic dentistry can enhance the aesthetics of your smile by whitening teeth, correcting alignment, filling gaps, and repairing chips or cracks. The goal is to give you a more attractive and confident smile.
Is cosmetic dentistry safe?
Yes, cosmetic dentistry procedures at Royal Dental Clinics are performed by experienced professionals using state-of-the-art technology, ensuring safe and effective results.
Is cosmetic dentistry painfull?
Cosmetic dentistry procedures are typically performed under local anesthesia, which numbs the area being treated. This helps minimize discomfort and pain during the procedure. However, it’s important to note that some cosmetic procedures may cause temporary sensitivity or discomfort afterward, such as tooth sensitivity after teeth whitening or minor discomfort after dental bonding or veneer placement. Your dentist will provide appropriate post-procedure instructions and may recommend over-the-counter pain relievers if needed.
How long does a cosmetic dental procedure take?
he duration of cosmetic dental procedures varies depending on the treatment. Teeth whitening might take an hour, while procedures like veneers or implants may require multiple visits over a few weeks.
Do cosmetic dental procedure require special aftercare?
Aftercare varies by procedure. For example, teeth whitening might require avoiding certain foods and drinks, while veneers and implants require good oral hygiene practices. Detailed aftercare instructions will be provided post-procedure.
Can cosmetic dentistry fix gaps in my teeth?
Yes, cosmetic dentistry can address gaps between teeth using treatments like veneers, dental bonding, or orthodontic solutions like Invisalign.
Can cosmetic dentistry fix gaps in my teeth?
Yes, cosmetic dentistry can address gaps between teeth using treatments like veneers, dental bonding, or orthodontic solutions like Invisalign.
Our Global Patients | Cosmetic Dentistry in Kandivali















People Also Search For
Dental Implants in India
All on 6 Dental Implants
All on 8 Dental Implants
full mouth dental implants
4 on 4 Dental Implants
Mini Dental Implants
Dental Implants in just one day
KNOW MORE
Royal Dental Clinics – Advanced Cosmetic Dental Clinic in Mumbai, India
At Royal Dental Clinics, we redefine smiles with our comprehensive cosmetic dentistry in Mumbai. With over 40 years of experience, we specialize in creating beautiful, confident smiles through advanced dental treatments tailored to your needs.
Cosmetic Dentistry Services Near Me in Mumbai
Smile Makeover in Mumbai
Transform your smile with customized smile makeover treatments designed to enhance your teeth’s shape, size, and color, giving you a natural, flawless look.Cosmetic Dental Treatment in Mumbai
From veneers and laminates to teeth whitening and bonding, our cosmetic dental treatments are ideal for correcting imperfections and restoring a bright, attractive smile.Full Mouth Rehabilitation with Dental Implants in Mumbai
Restore function and aesthetics with our full mouth rehabilitation services. Using dental implants, we replace missing or damaged teeth to bring back your natural smile—often in just one day.Celebrity Smile Makeover in Mumbai
Achieve a stunning, picture-perfect smile with our celebrity smile makeover treatments, trusted by patients who want that red-carpet-ready confidence.Smile Reconstruction in Mumbai
Whether due to trauma, decay, or misalignment, our smile reconstruction treatments rebuild and redesign your smile for improved appearance and oral health.Jaw Alignment Surgery in Mumbai
Correct misaligned jaws and bite issues with jaw alignment surgery, performed by our expert cosmetic maxillofacial surgeon for improved symmetry and function.Cosmetic Makeover in Mumbai
Enhance your overall facial aesthetics with a cosmetic makeover, combining dental and facial treatments for a balanced, youthful appearance.
How to Choose the Best Cosmetic Dentist in India
Choosing the best cosmetic dentist in India is crucial for achieving your dream smile. Here’s what to consider:
Experience & Expertise – Select a dentist with proven experience in cosmetic dentistry and procedures like smile makeovers, jaw alignment, and full mouth rehabilitation.
Technology & Techniques – Opt for clinics using CAD-CAM technology and digital smile designing for unmatched precision.
Results & Testimonials – Check before-and-after smile makeover photos and patient reviews to evaluate expertise.
Personalized Planning – The best cosmetic dental clinics design treatments around your unique facial structure and expectations.
Global Recognition – Choose a clinic trusted by patients from across the globe for consistent, world-class outcomes.
At Royal Dental Clinics, led by Dr. Chirag Chamria, we are recognized internationally for delivering precision-driven, aesthetic smiles that look and feel natural.
Global Reach – Serving Patients Worldwide
Royal Dental Clinics is a trusted destination for dental tourism, welcoming patients from New Zealand, USA, Australia, UK, and Canada. Our one-day dental treatments and smile makeover solutions make us a preferred choice for international patients seeking world-class cosmetic dental care in India.


















