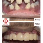
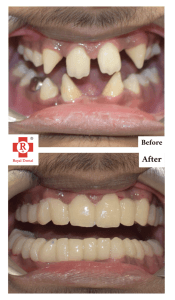
Missing teeth can be a tragic thing for anyone. If you are someone that is missing a tooth or some teeth you may be all too aware of the importance of dental health and your looks. Teeth are not just important for an attractive smile and good looks. If you are missing teeth there are chances that you may be facing issues with chewing your food and have gum problems.
Fortunately, missing teeth can be easily replaced. There are several ways in which broken or missing teeth can be fixed by a dentist. In this article, we will explore some of the ways in which a dentist can help you with your broken teeth.
Partial or complete dentures:
Dentures can be defined as false removable teeth which can be easily fabricated. Dentures can be of two types partial and complete. In partial dentures, only one or a few teeth are replaced. In the complete dentures, all the teeth that are missing in the jaw are replaced.
Dentures only hold false teeth on a plastic or metal framework. These frameworks are easily removable. They are specifically designed to fit around the adjacent teeth. The framework is usually seen to cover part of the gum tissue or the roof of the mouth. Dentures are equipped with rests and hooks that assist in holding the framework. One of the disadvantages of dentures is that these dentures can be sometimes visible when smiling.
Dental Bridge for missing teeth:
In a bridge, natural teeth are used adjacent to the empty space to support a false tooth. More than one tooth can also be supported by natural teeth. The natural teeth are usually shaved or contoured so that a cap can be placed on it. Such teeth are usually known as the abutment teeth. The crowns that reside on each of the natural teeth support the false tooth in between them which is also known as the pontic tooth.
Bridges can be an excellent solution if the adjacent teeth require crowns for any other reason. They can be completed in one day usually. This may require desensitization of the natural tooth.
Dental Implants for missing teeth:
Dental Implants are the best way to replace natural teeth. It is usually the first choice of dentists when replacing missing teeth. Dental Implants have been around since the 1950’s and have been perfected by various private and institutional bodies over the years. A dental implant consists of two parts which are the implant that usually functions as the anchor in the jaw and the crown.
Implants do not affect the surrounding teeth directly. It mimics natural teeth’s root function. Implants also function as natural teeth and it is very hard to differentiate between a natural teeth and implants.
In the past, many patients have lamented losing natural teeth, as dentists were not able to provide an acceptable replacement. But now dental implants have provided a stable fit that has drastically improved the ability of patients to chew and talk.
Advantages of dental implants over bridges and dentures:
✦ Implants are fixed in one place and are not removed every night. This gives them an advantage over denatures. Implants are also very aesthetically pleasing without any visible hooks or clasps that can be seen while smiling.
✦ Bridges require natural healthy teeth to be shaved in order to be installed. This is very undesirable and may damage perfectly healthy teeth. If the natural teeth are lost for some reason the entire bridge may also be lost. Implants do not damage or effect surrounding teeth. They are only placed in the position of the missing teeth.
Procedure of dental implants for missing teeth:
- The initial period of implant placement is crucial and it involves placement of the titanium implants into the jaw. These implants need to be covered underneath the gum for three to six months. The bone is supposed to get attached to the surface of the implants. This will permanently anchor the position of the implant.
- A post is attached to the implant which will complete the foundation on which the new tooth will be placed. These days posts are also placed with the implants.
- In this phase, an artificial tooth is placed in the implant. With the help of modern dental technology, the new artificial tooth is blended perfectly with the remaining natural teeth. The color and shape are adjusted perfectly by the dentist.



